Greffe conjonctive réalisée par technique tunnelisée pour traiter une récession gingivale à Apolline Dental Care à Corbeil-Essonnes
Greffe Conjonctif
#parodontologie
Comblement osseux d’une lésion intra-osseuse parodontale avec biomatériau régénératif à Apolline Dental Care à Corbeil-Essonnes
Lésion Intra osseuse
#parodontologie
Greffe de gencive déplacée réalisée chez un patient fumeur à Apolline Dental Care à Corbeil-Essonnes
Assainissement Parodontale et Lambeau de recouvrement
#parodontologie
Greffe de gencive réalisée après péri-implantite sur un ancien implant chez une personne âgée à Apolline Dental Care à Corbeil-Essonnes
Greffe Gingivale Libre
#parodontologie
Lambeau tracté avec greffe conjonctive pour traiter la sensibilité dentaire liée à la récession gingivale à Apolline Dental Care à Corbeil-Essonnes
Greffe Conjonctif
#parodontologie
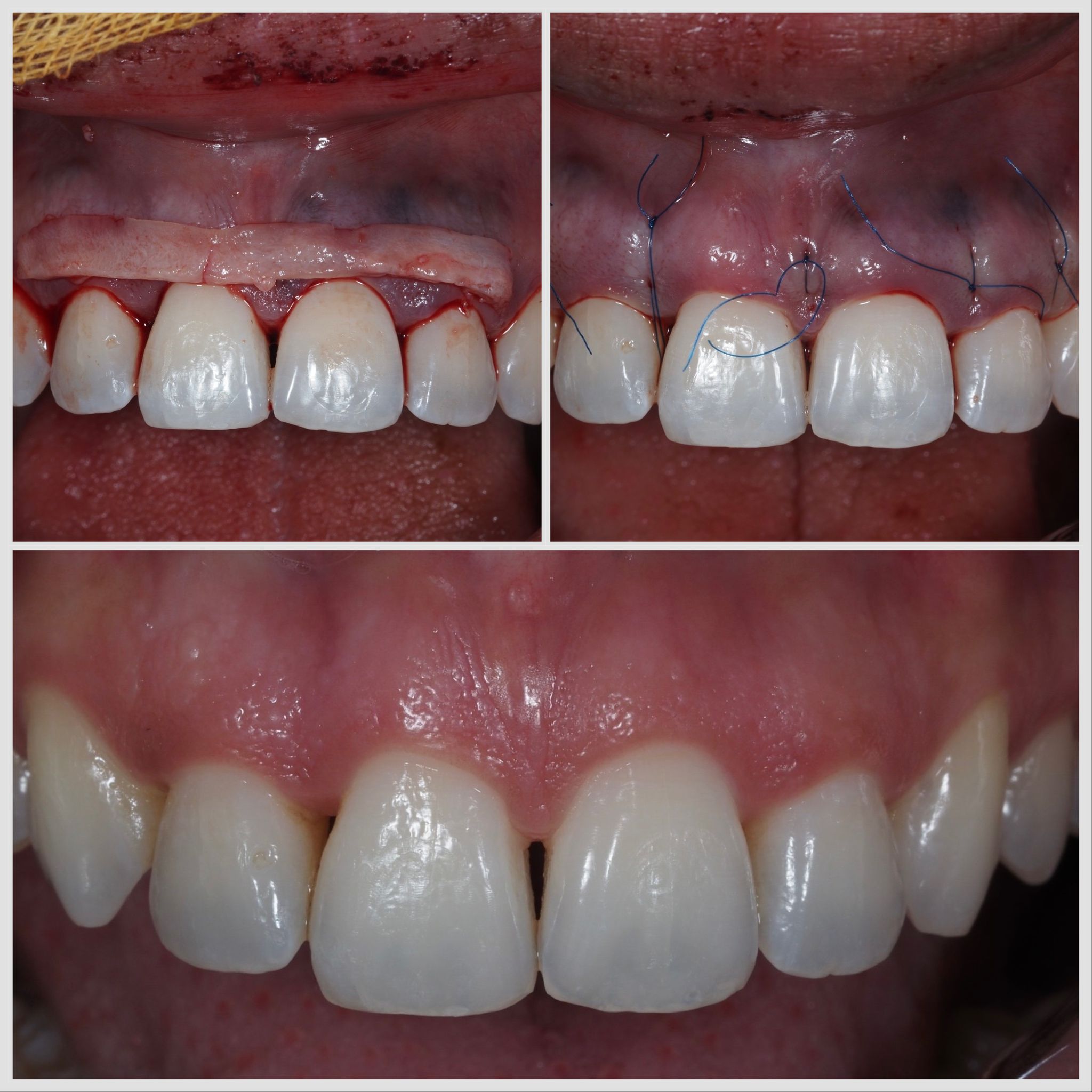
Greffe conjonctive réalisée après traumatisme dentaire avec perte d’incisive en vue d’un bridge cantilever à Apolline Dental Care à Corbeil-Essonnes
Greffe Conjonctif
#parodontologie
Greffe de gencive réalisée après péri-implantite pour restaurer les tissus autour de l’implant à Apolline Dental Care à Corbeil-Essonnes
Greffe Gingivale Libre
#parodontologie
Greffe conjonctive réalisée autour d’une couronne implantaire pour renforcer les tissus mous à Apolline Dental Care à Corbeil-Essonne
Greffe Conjonctif
#parodontologie
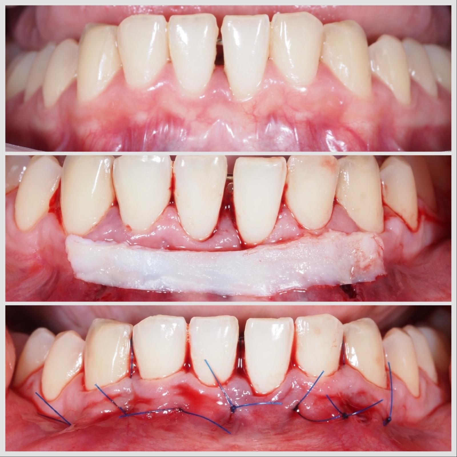
Greffe conjonctive mandibulaire réalisée par technique tunnelisée pour traiter une récession gingivale à Apolline Dental Care à Corbeil-Essonnes
Greffe Conjonctif
#parodontologie
Greffe conjonctive réalisée par tunnel mandibulaire pour régénération naturelle des gencives à Apolline Dental Care à Corbeil-Essonnes
Greffe Conjonctif
#parodontologie
Greffe gingivale libre réalisée pour augmenter la gencive et protéger la dent à Apolline Dental Care à Corbeil-Essonnes
Greffe Gingivale Libre
#implantologie
Greffe conjonctive réalisée autour d’un implant pour renforcer les tissus mous et améliorer le profil d’émergence à Apolline Dental Care à Corbeil-Essonnes
Greffe Conjonctif de renfort
#implantologie
Pose d’un implant selon la technique Summers avec élévation du sinus par voie crestale à Apolline Dental Care à Corbeil-Essonnes
Implant Summers Pilier Anatomique
#implantologie
Implant posé avec la technique SSA Sealing Socket Abutment pour sceller le site d’extraction et préserver les tissus à Apolline Dental Care à Corbeil-Essonnes
Implant et SSA
#implantologie
Implant immédiat avec technique SSA Sealing Socket Abutment selon le protocole Dr Gary Finelle à Apolline Dental Care à Corbeil-Essonnes
Implant et SSA
#implantologie
Profil d’émergence optimisé grâce à la gestion des tissus mous lors d’un implant immédiat à Apolline Dental Care à Corbeil-Essonnes
Mise en esthétique immédiate
#implantologie
Prothèse sur implant au niveau d’une incisive avec antécédent de maladie parodontale à Apolline Dental Care à Corbeil-Essonnes
Mise en esthétique immédiate
#implantologie
Extraction avec pose d’un implant immédiat et greffe conjonctive pour préservation gingivale à Apolline Dental Care à Corbeil-Essonnes
Mise en esthétique immédiate
#implantologie
Extraction dentaire avec pose d’un implant immédiat et mise en place d’une prothèse provisoire fixe le jour même à Apolline Dental Care à Corbeil-Essonnes
Mise en esthétique immédiate
#implantologie
Bridge cantilever supporté par implant mandibulaire pour remplacer une dent manquante à Apolline Dental Care à Corbeil-Essonnes
Mise en esthétique immédiate
#implantologie
Implant dentaire de 2.9 mm placé dans un espace réduit d’incisive mandibulaire à Apolline Dental Care à Corbeil-Essonnes
Mise en esthétique immédiate
#implantologie
Ingression dentaire réalisée avec mini-vis orthodontiques pour ancrage squelettique à Apolline Dental Care à Corbeil-Essonnes
Ingression dentaire
#implantologie
Implant en zircone avec couronne zircone posé pour un résultat esthétique 100% céramique à Apolline Dental Care à Corbeil-Essonnes
Implant Zircone
#implantologie
Mise en charge immédiate All-on-6 maxillaire pour dents fixes le jour même à Apolline Dental Care
All on 6 – Guide a étage – Mise en Charge immediate
#implantologie
Pose d’implants All-on-6 maxillaire avec chirurgie guidée numérique à Apolline Dental Care à Corbeil-Essonnes
All on 6 – Guide a étage – Mise en Charge immediate
#implantologie
Traitement All-on-6 au maxillaire avec implants dentaires pour réhabilitation complète à Apolline Dental Care à Corbeil-Essonnes
All on 6 – Guide a étage – Mise en Charge immediate
#implantologie
Traitement d’implantologie All-on-4 mandibulaire à Apolline Dental Care à Corbeil-Essonnes
All on 4 – Guide a étage – Mise en Charge immediate
#implantologie
Traitement endodontique d’une molaire maxillaire nécrosée réalisé à Apolline Dental Care à Corbeil-Essonnes
Retraitement endodontique sur molaire maxillaire
#endodontie
Prémolaire mandibulaire avec trois canaux traitée sous microscope à Apolline Dental Care à Corbeil-Essonnes
Endodontie prémolaire 3 canaux
#endodontie
Lésion endo-parodontale sur molaire mandibulaire traitée en endodontie et parodontologie à Apolline Dental Care à Corbeil-Essonnes
Lésion endo-parodontale
#endodontie
Traitement endodontique sur prémolaire avec trois canaux réalisé à Apolline Dental Care à Corbeil-Essonnes
Endodontie sur prémolaire à 3 canaux
#endodontie
Résection chirurgicale d’un kyste dentaire de grande taille à Apolline Dental Care à Corbeil-Essonnes
Resection Apical
#endodontie
Résection apicale avec comblement PRF pour préserver la dent et régénérer les tissus à Apolline Dental Care
Resection Apical
#endodontie
Résection apicale pour éliminer une infection à l’extrémité de la racine réalisée à Apolline Dental Care à Corbeil-Essonnes
Resection Apical
#endodontie
Extraction dentaire avec ablation de kyste et sinus lift réalisé à Apolline Dental Care à Corbeil-Essonnes
Extraction dentaire avec ablation de kyste et sinus lift
#chirurgie
Sinus lift associé à une régénération osseuse guidée (ROG) pour reconstruction maxillaire à Apolline Dental Care à Corbeil-Essonnes
Sinus Lift
#chirurgie
Sinus lift réalisé avec planification 3D pour préparer la pose d’implants dans la zone maxillaire à Apolline Dental Care
Sinus Lift
#chirurgie
Sinus lift avec comblement osseux réalisé dans la zone maxillaire pour placement d’implant à Apolline Dental Care à Corbeil-Essonnes
Sinus Lift
#chirurgie
Régénération osseuse guidée verticale avec membrane armée réalisée pour reconstruction implantaire à Apolline Dental Care à Corbeil-Essonnes
ROG verticale avec membrane armée
#chirurgie
Régénération osseuse guidée effectuée après extraction traumatique pour reconstruire l’os alvéolaire à Apolline Dental Care à Corbeil-Essonnes
Regeneration Osseuse guidé
#chirurgie
Résorption externe dentaire visible sur une dent nécessitant un traitement spécialisé à Apolline Dental Care à Corbeil-Essonnes
Résorption Externe
#chirurgie
Cas clinique montrant le retrait d’une lime endodontique fracturée au bloc opératoire à Apolline Dental Care à Corbeil-Essonnes
Ablation Lime fracture
#chirurgie
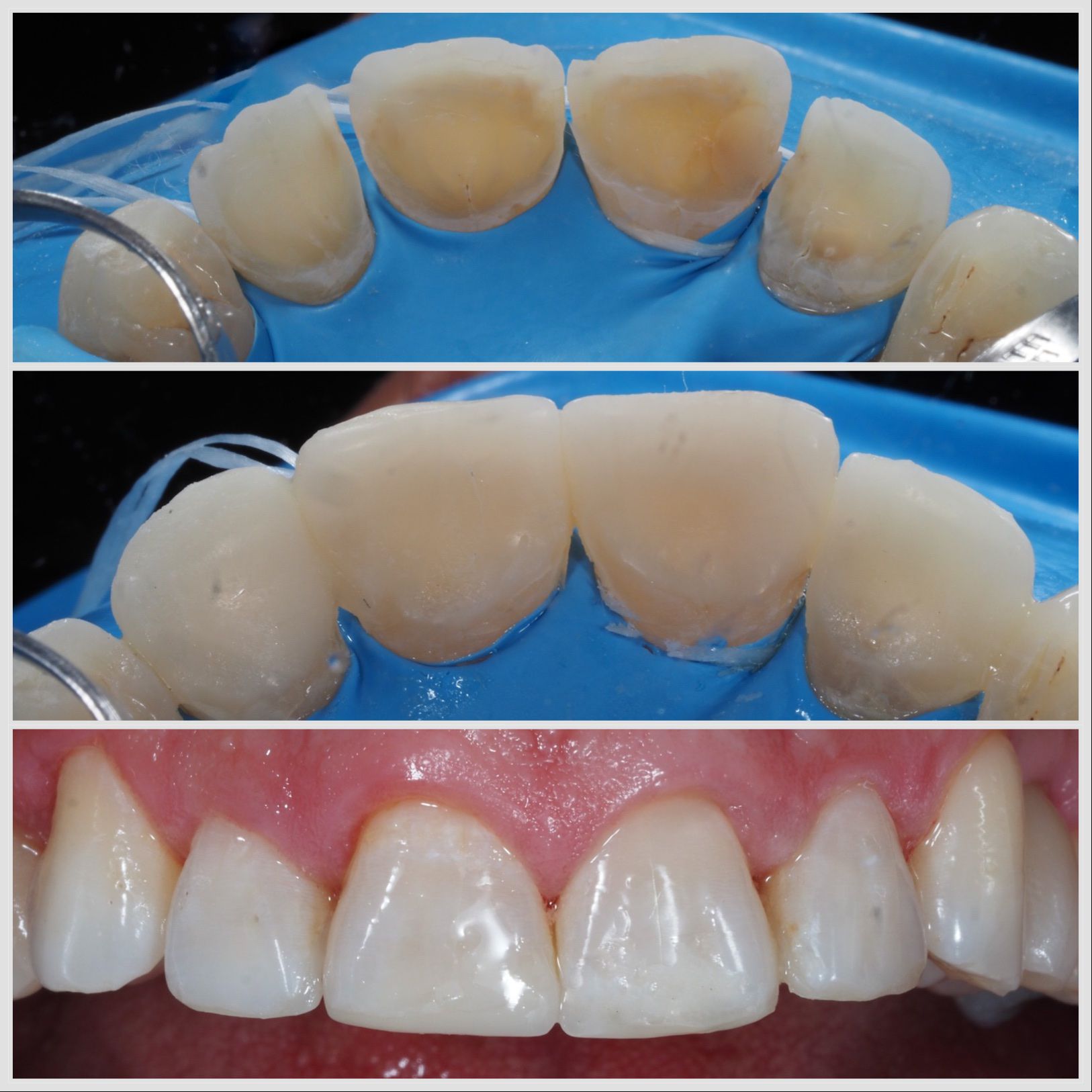
Facette palatine utilisée pour restaurer une dent érodée à Apolline Dental Care à Corbeil-Essonnes
Facettes palatines
#esthetique
Overlay dentaire en céramique pour restaurer la surface occlusale d’une dent à Apolline Dental Care à Corbeil-Essonnes
Onlay
#esthetique
Onlay dentaire en céramique pour restaurer une dent abîmée de manière esthétique et conservatrice à Apolline Dental Care à Corbeil-Essonnes
Onlay
#esthetique
Hypominéralisation dentaire avec taches blanches (MIH) traitée à Apolline Dental Care à Corbeil-Essonnes
MIH
#esthetique
Taches brunes liées à une hypominéralisation molaire-incisive (MIH) traitées à Apolline Dental Care à Corbeil-Essonnes
MIH
#esthetique
Pose de facette dentaire sur dent rhiziforme pour corriger la forme et améliorer l’esthétique à Apolline Dental Care à Corbeil-Essonnes
Facettes
#esthetique
Réintervention de facette dentaire chez un jeune patient pour améliorer l’esthétique du sourire à Apolline Dental Care à Corbeil-Essonnes
Facettes
#esthetique
Facette dentaire posée sur une dent dévitalisée depuis 30 ans pour restaurer l’esthétique du sourire à Apolline Dental Care à Corbeil-Essonnes
Facettes
#esthetique
Onlay céramique posé pour restaurer une dent usée par érosion à Apolline Dental Care à Corbeil-Essonnes
Erosion Dentaire Overlay
#esthetique
Éclaircissement dentaire professionnel pour un sourire plus lumineux à Apolline Dental Care à Corbeil-Essonnes
Eclaircissement
#esthetique
Cas d’amélogenèse imparfaite nécessitant une réhabilitation esthétique dentaire à Apolline Dental Care à Corbeil-Essonnes
Amélogénèse Imparfaire
#esthetique
Couronne céramique esthétique destinée à restaurer un sourire naturel à Apolline Dental Care à Corbeil-Essonnes
Integration de Couronne Zircone parmis d’ancienne couronne
#esthetique
Contention parodontale fibrée pour stabilisation des dents à Apolline Dental Care à Corbeil-Essonnes
Contention Fibré
#esthetique
Restauration conservatrice en composite antérieur pour reconstruire une dent abîmée à Apolline Dental Care à Corbeil-Essonnes
Composite Stratifié
#esthetique
Restauration en composite esthétique sur dent antérieure pour harmonisation du sourire à Apolline Dental Care à Corbeil-Essonnes
Composite Stratifié
#esthetique
Bridge cantilever postérieur utilisé pour remplacer une dent manquante au cabinet Apolline Dental Care à Corbeil-Essonnes
Bridge Collé Cantilver Posterieur
#esthetique
Bridge cantilever postérieur en prothèse fixe conservatrice réalisé à Apolline Dental Care à Corbeil-Essonnes
Bridge Collé Cantilver Posterieur
#esthetique
Bridge cantilever pour remplacer une incisive latérale absente (agénésie) à Apolline Dental Care à Corbeil-Essonnes
Bridge Collé Cantilver
#esthetique
Contactez

Contactez-nous

Votre demande est :

    Administrative (facture, demande de RDV, etc)Médicale (analyse de sang, photos suite post-opératoire, etc)