Usure et érosion dentaire
Comprendre, prévenir et traiter l’usure des dents
L’usure dentaire et l’érosion dentaire correspondent à une perte progressive des tissus dentaires, souvent silencieuse au début, mais pouvant évoluer vers des atteintes sévères avec sensibilités importantes, douleurs et altération de la fonction masticatoire.
Au cabinet Apolline Dental Care, situé à Corbeil-Essonnes, la prise en charge de l’usure dentaire repose sur une analyse précise des causes, une évaluation fonctionnelle globale et des traitements conservateurs adaptés au stade d’évolution.
Usure et érosion : de quoi parle-t-on ?
L’usure dentaire résulte de la perte progressive de l’émail et parfois de la dentine, sous l’effet de mécanismes mécaniques, chimiques ou mixtes.
On distingue principalement :
- l’érosion dentaire : usure chimique liée aux acides
- l’attrition : usure mécanique par contact dent contre dent
- l’abrasion : usure liée à des frottements externes (brossage, habitudes)
👉 Dans la majorité des cas, ces mécanismes se combinent.
Les stades initiaux : des signes discrets mais caractéristiques
Usure débutante des cuspides
Aux stades précoces, l’usure se manifeste souvent par :
- une usure localisée des cuspides,
- un aspect en cupule sur les faces occlusales,
- peu ou pas de douleur à ce stade.
Ces signes passent fréquemment inaperçus sans examen attentif.
Signes précoces d’érosion chimique
L’érosion chimique débute souvent sur :
- les faces latérales des dents,
- avec une coloration typique :
- jaunâtre,
- orangée,
- parfois brunâtre.
Cette coloration traduit une perte de l’émail laissant apparaître la dentine sous-jacente.
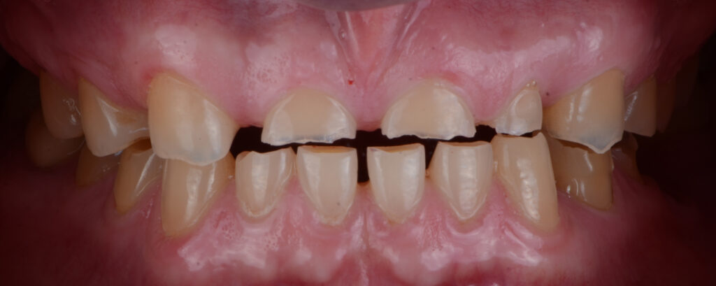
Évolution vers des formes sévères
Sans prise en charge, l’usure progresse vers :
- une usure globale des faces occlusales,
- une diminution de l’épaisseur de l’émail,
- des sensibilités dentaires importantes,
- parfois des douleurs spontanées ou à la mastication.
À un stade avancé, l’usure peut compromettre :
- la fonction masticatoire,
- l’esthétique du sourire,
- la stabilité de l’occlusion.

Les causes principales de l’usure dentaire
L’érosion chimique : un rôle central du reflux gastro-œsophagien (RGO)
La cause principale de l’érosion dentaire est l’exposition répétée des dents aux acides, en particulier :
- le reflux gastro-œsophagien (RGO),
- les remontées acides nocturnes, souvent méconnues,
- certaines pathologies digestives.
Les acides gastriques ramollissent l’émail, le rendant beaucoup plus vulnérable aux forces mécaniques.
Le bruxisme : un phénomène naturel, mais amplificateur
Le bruxisme correspond au serrement ou grincement des dents, principalement pendant le sommeil.
Points essentiels à comprendre :
- le bruxisme est un phénomène physiologique naturel,
- il existe aussi bien en dentition mixte qu’en dentition définitive,
- il peut être accentué par le stress, de jour comme de nuit.
👉 Le bruxisme seul n’explique pas toujours l’usure sévère, mais il devient délétère lorsque l’émail est déjà fragilisé par l’érosion acide.
Le mécanisme mixte : érosion + attrition
C’est le scénario le plus fréquent :
- Les acides (RGO, alimentation) ramollissent l’émail,
- Le bruxisme ou les contacts dentaires provoquent une attrition accélérée,
- L’usure devient rapide et parfois spectaculaire.
L’importance du diagnostic global
Avant tout traitement, il est essentiel de :
- identifier la cause dominante (chimique, mécanique ou mixte),
- évaluer l’étendue réelle de l’usure,
- analyser la hauteur verticale d’occlusion.
👉 Ne pas évaluer la perte de hauteur verticale expose à un risque majeur :
modifier involontairement le profil facial et l’équilibre fonctionnel du patient lors d’une réhabilitation.
Les solutions de traitement
Restaurations partielles : overlays et facettes palatines
Selon le stade d’usure, le traitement peut reposer sur :
- des overlays pour restaurer les faces occlusales,
- des facettes palatines pour protéger les faces internes des dents antérieures.
Ces restaurations permettent :
- de restaurer la fonction sans surtraiter.
- de protéger les dents restantes,
- de réduire les sensibilités,

Réhabilitations globales (si nécessaire)
Dans les cas avancés :
- une réhabilitation globale peut être envisagée,
- avec une reconstruction progressive et contrôlée de la hauteur d’occlusion.
👉 L’objectif n’est jamais de « changer le visage »,
mais de restaurer la fonction en respectant la morphologie du patient.
Prévention : un pilier fondamental du traitement
Alimentation et érosion acide
La prévention repose en grande partie sur l’alimentation :
- aliments acides (sodas, jus, agrumes),
- consommation répétée plutôt que ponctuelle,
- alcool, qui favorise le reflux acide,
- alimentation riche en graisses, augmentant le RGO.
⚠️ Certaines intolérances ou allergies alimentaires peuvent aggraver les reflux gastriques.
Gestion du bruxisme
Même s’il est naturel, le bruxisme peut être limité :
- par la gestion du stress,
- par une gouttière de protection nocturne si nécessaire,
- par une prise de conscience des tensions en journée.
À retenir
- L’usure dentaire débute souvent de manière discrète
- L’érosion chimique, notamment liée au RGO, joue un rôle majeur
- Le bruxisme agit comme un facteur aggravant, pas toujours comme cause unique
- Le diagnostic de la hauteur d’occlusion est essentiel avant toute réhabilitation
- La prévention alimentaire et la gestion du stress sont indispensables
Prise en charge de l’usure dentaire à Corbeil-Essonnes
Cabinet Apolline Dental Care
Le cabinet Apolline Dental Care, situé à Corbeil-Essonnes, propose une prise en charge complète de l’usure et de l’érosion dentaire, intégrant diagnostic fonctionnel, traitements conservateurs et prévention personnalisée.