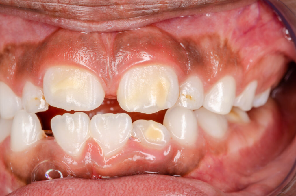
MIH – Taches blanches et jaunes
L’Hypominéralisation Molaire-Incisive (MIH) est une anomalie de l’émail qui affecte les dents permanentes des enfants, principalement les premières molaires et les incisives. Elle se manifeste par des taches blanches, jaunes ou brunes, dues à un défaut de minéralisation, rendant la dent plus sensible et fragile dès son éruption. Cette condition, en forte augmentation en France, peut entraîner douleurs, hypersensibilité au froid, difficultés lors du brossage, et un risque accru de caries.
Au sein du cabinet Apolline Dental Care à Corbeil-Essonnes (Essonne), spécialisé en dentisterie pédiatrique, nous proposons une prise en charge précoce et innovante, adaptée aux enfants dès l’apparition des premières dents permanentes. Grâce à la technique ICON, un traitement non invasif, sans anesthésie ni fraisage, nous pouvons infiltrer la dent et stopper l’évolution de la lésion tout en améliorant l’esthétique.
Nos soins sont accessibles aux familles venant de Corbeil Essonnes, Savigny le Temple, Lieusaint, Melun (Seine-et-Marne), Fontainebleau, ainsi qu’aux patients de l’Yonne (Sens, Nemours, Montereau Fault Yonne) souhaitant bénéficier d’un traitement spécialisé pour la MIH dans un centre dentaire de référence.
Qu’est-ce que la MIH ?
La MIH est un défaut de formation de l’émail qui survient lors du développement de la dent, bien avant son apparition dans la bouche.
L’émail est moins minéralisé, ce qui le rend poreux, fragile et plus sensible aux attaques acides et bactériennes.

| Caractéristique | Conséquence |
|---|---|
| Émail poreux et moins dur | Dents qui s’effritent facilement |
| Apparition de taches blanches, jaunes ou brunes | Impact esthétique important |
| Sensibilité accrue | Douleur au froid, chaud ou brossage |
| Risque carieux plus élevé | Progression rapide des lésions |
⚠️ Ce problème n’est pas lié à une hygiène insuffisante.
Il s’agit d’un défaut de développement, souvent d’origine multifactorielle (facteurs génétiques, environnementaux, maladies infantiles, etc.).
Quand apparaît la MIH ?
- Elle touche généralement les premières molaires permanentes et les incisives, qui apparaissent vers 6 à 8 ans,
- Les parents remarquent souvent des taches colorées ou un effritement dès l’éruption de ces dents,
- Plus le diagnostic est précoce, plus la prise en charge est simple et efficace.
Les signes qui doivent alerter
| Signes visibles | Signes ressentis |
|---|---|
| Taches blanches, jaunes ou marron sur une dent | Douleur lors du brossage ou à la mastication |
| Dent qui s’effrite facilement | Hypersensibilité au froid ou au chaud |
| Aspect rugueux ou poreux de l’émail | Difficulté à mâcher certains aliments |
| Carie précoce sur une dent récemment sortie | Gêne esthétique importante (incisives) |
Si vous remarquez un de ces signes chez votre enfant, consultez rapidement un dentiste pour éviter que la dent ne se dégrade.
Objectifs du traitement
Le traitement de la MIH vise plusieurs objectifs :
- Protéger la dent fragilisée pour éviter qu’elle ne s’effrite,
- Réduire la sensibilité dentaire et améliorer le confort au quotidien,
- Prévenir l’apparition de caries, plus rapides sur ce type d’émail,
- Améliorer l’esthétique du sourire, notamment au niveau des incisives.
Traitement par ICON (injection-infiltration)
Le traitement ICON est une technique moderne, sans fraisage et sans anesthésie, qui consiste à infiltrer une résine liquide dans l’émail poreux pour le renforcer et masquer visuellement la tache.
C’est une solution minimale invasive, parfaitement adaptée aux enfants et adolescents, qui évite les soins lourds comme les composites ou les couronnes, tant que la dent n’est pas trop abîmée.

Déroulement de la séance
La procédure ICON se fait en une seule séance et est totalement indolore.
| Étape | Description |
|---|---|
| 1. Préparation douce de la dent | Nettoyage et isolation de la dent concernée |
| 2. Application d’un gel spécifique | Ouvre légèrement les pores de l’émail pour faciliter la pénétration |
| 3. Infiltration de la résine ICON | La résine liquide pénètre en profondeur dans l’émail fragilisé |
| 4. Photopolymérisation | La résine est durcie par une lampe spéciale |
| 5. Polissage final | Finition pour un aspect lisse et naturel |
⏱️ Durée moyenne : 20 à 30 minutes par dent.
Avantages du traitement ICON
| Avantage | Bénéfice pour le patient |
|---|---|
| Aucune anesthésie | Soins confortables et non traumatisants |
| Sans fraisage de la dent | Conservation maximale de l’émail naturel |
| Esthétique immédiate | Disparition ou atténuation visible des taches |
| Renforcement de la dent | Réduction du risque de fissures ou caries |
| Solution rapide | Réalisé en une seule séance |
Limites du traitement ICON
- Ne peut pas être utilisé si la dent est trop abîmée ou cassée,
- Les résultats esthétiques peuvent varier selon la profondeur de la lésion,
- Parfois, un complément par un composite est nécessaire dans un second temps.
Autres traitements possibles en cas de MIH sévère
Dans les cas où la dent est déjà très abîmée ou douloureuse, d’autres solutions peuvent être envisagées :
| Situation | Solution recommandée |
|---|---|
| Dent très sensible mais structure encore présente | Vernis fluoré ou résine de protection |
| Dent partiellement effritée | Composite ou onlay pour renforcer la dent |
| Dent très délabrée | Couronne pédiatrique ou extraction (cas rares) |
Le choix du traitement dépend du diagnostic précis et de l’âge de l’enfant.
Suivi et entretien après un traitement ICON
Pour assurer la durabilité des résultats et protéger les dents fragilisées par la MIH :
- Brossez les dents 2 fois par jour avec un dentifrice fluoré,
- Évitez les aliments trop acides ou sucrés qui favorisent la déminéralisation,
- Utilisez une brosse souple pour éviter les douleurs,
- Réalisez des visites de contrôle tous les 6 mois, voire plus fréquemment si conseillé,
- Envisagez l’application régulière de vernis fluoré professionnel pour renforcer l’émail.
Questions fréquentes
Le traitement ICON est-il douloureux ?
Non.
Il est totalement indolore et ne nécessite pas d’anesthésie, ce qui le rend particulièrement adapté aux enfants.
Le résultat est-il immédiat ?
Oui, dans la majorité des cas, la tache s’atténue ou disparaît dès la fin de la séance.
Le rendu final est naturel et s’harmonise avec la teinte de la dent.
Est-ce que la MIH revient après le traitement ?
Non.
Une fois la dent infiltrée, la lésion est stabilisée.
Cependant, de nouvelles dents peuvent être concernées au fur et à mesure de leur éruption, ce qui nécessite un suivi régulier.
Que faire si la dent est déjà cassée ?
Si la dent est trop abîmée, l’ICON ne suffit pas.
Une restauration plus solide, comme un composite ou un onlay, sera alors proposée.
🗓 En résumé
| Étape | Objectif |
|---|---|
| Diagnostic précoce | Identifier la MIH dès l’éruption des dents |
| Traitement ICON | Stabiliser la dent et améliorer l’esthétique |
| Suivi régulier | Prévenir les complications et surveiller l’évolution |
| Prévention quotidienne | Brosse douce, dentifrice fluoré et alimentation équilibrée |
Notre engagement
Chez Apolline Dental Care, nous nous engageons à :
- Détecter précocement les signes de MIH chez vos enfants,
- Proposer des solutions modernes et non invasives, comme l’ICON,
- Préserver au maximum l’émail naturel et éviter les soins lourds,
- Vous accompagner avec un suivi personnalisé, pour assurer la santé et la beauté du sourire de votre enfant.
Notre priorité est de protéger les dents fragiles, tout en rendant les soins confortables, rapides et efficaces.
À découvrir également :